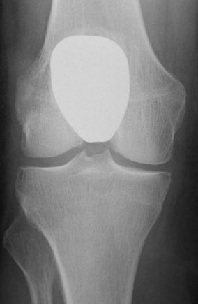
Front view showing the resurfacing of the front of the thigh bone with a cobalt chrome alloy Sigma component .

 

Side view Patello-femoral resurfacing, leaving the rest of the knee alone.